牙医忠告 千万别给孩子这样吃东西了 双排牙 牙医 乳牙
美丽牙医 Medental 品牌专区 东成医疗器械
![]()
竹北生活通系列 看病推薦和心得分享 劉智暉耳鼻喉科診所 國彥耳鼻喉科診所 竹仁婦幼診所 雙成牙醫診所 劉家麟皮膚專科


时尚牙医质量怎么样 时尚牙医口碑怎么样 小麦优选

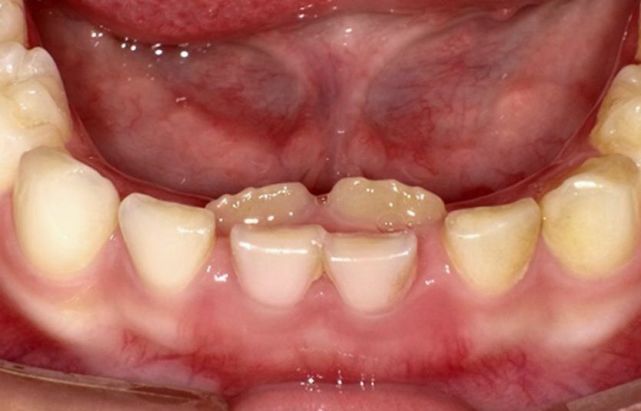
乳牙恒牙长成 双排牙 听牙医告诉你 要立即拔吗 妈咪jane 黄静洁 新浪博客

又一暴利行业被发现 成本几千元 到手上万元 从业者成 稀缺 快资讯
台中大里隱形矯正推薦 隱形牙套真的比較好嗎 隱適美三劍客十大qa全解答 承錠旅行日記

基隆君悅基隆君悅牙醫診所 Uuogs
2020雙北大會學術研討會 社團法人台北市牙醫師公會

儿子长了双排牙 我追悔莫及 5岁以后别这么干 否则可能 爱他变成害他 精选 乳牙
一位好牙医 是您一生的口腔健康顾问 吴鸿春牙医好吗 双偶网